TEETH - STRAIGHTENING TREATMENT
SERVICES
RESOURCES
SHOP
MEDICAL CERTIFICATIONS
Certifications ensuring safety, quality, and compliance with global standards.
Certifications ensuring safety, quality, and compliance with global standards.
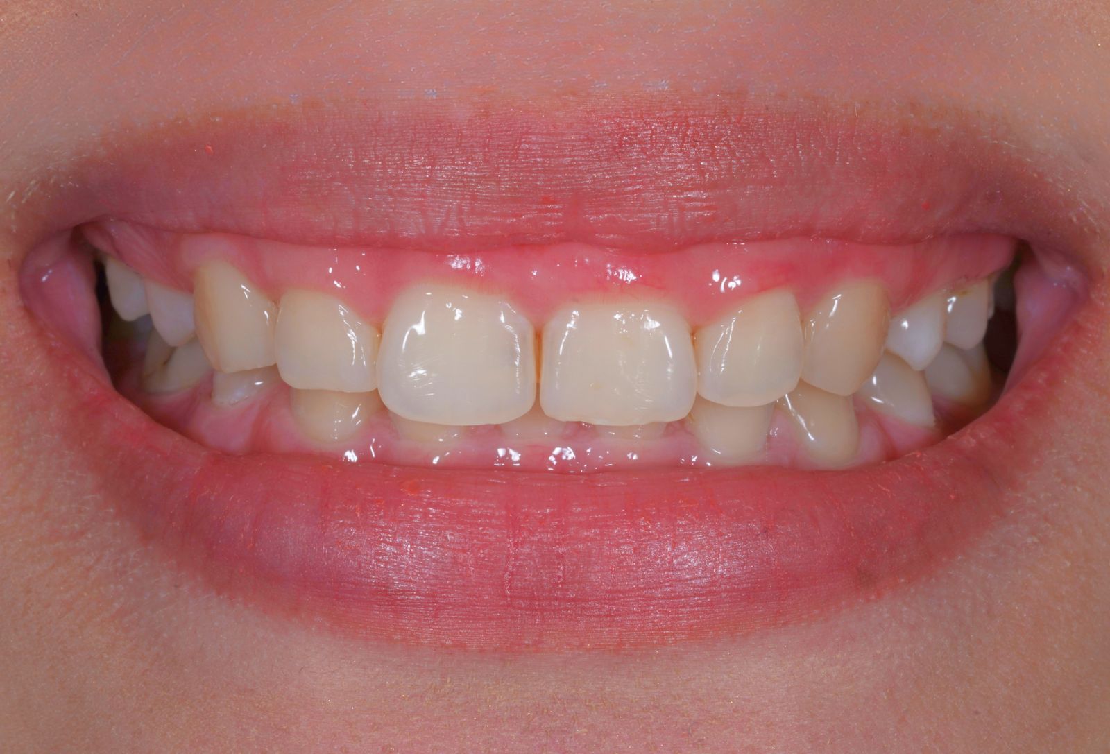
A gummy smile happens when more of the upper gums show than usual when you smile. Some people also call this a gum smile, or refer to it as gummy teeth. It can make the teeth appear shorter or change the overall look of your smile. While it doesn’t usually affect oral health, many people feel self-conscious about how their smile looks.
There is no “right” or “wrong” smile, but understanding why a gum smile happens can help you decide whether treatment is something you want to explore.
A gum smile can be caused by one or a combination of the following factors:
Some people naturally have more gum tissue covering their teeth. This extra tissue can make the teeth look shorter than they really are, which makes the gums more noticeable when smiling.
Teeth that are naturally short or have worn down over time can cause the gums to appear more prominent. This can affect the overall balance of the smile and make the gums more visible.
An upper lip that lifts higher than usual when smiling can reveal more of the gums. In addition, certain jaw positions or movements may also contribute to a more prominent gum display.
When teeth are not properly aligned, it can influence how much of the gums are visible, especially while biting or smiling. Misaligned teeth can sometimes make the gums appear uneven or more pronounced.
Not everyone notices immediately if they have a gum smile. Here are some common signs to look out for:
Visible upper gums: A significant portion of the gums shows above the teeth when smiling.
Short-looking teeth: Teeth may appear smaller than they actually are due to gum coverage.
Uneven smile appearance: The smile may look asymmetrical or unbalanced.
Noticeable in expressions: The gums are more visible in certain facial expressions, like laughing or wide smiles.
Recognizing these signs helps you understand your smile better and decide whether you want to explore treatments.
In most cases, a gum smile is not a medical or dental health problem. However, if it is linked to poor oral hygiene or gum inflammation, it is essential to focus on maintaining healthy gums first.
Maintaining good gum care — such as proper brushing, flossing, and regular dental check-ups — helps ensure the gums remain firm, pink, and healthy.

Treatment for a gum smile depends on the underlying cause and personal preference. Some common approaches include:
Whether or not you seek treatment, healthy gums play a key role in a confident smile. Simple habits can make a big difference:
Good gum care helps maintain both oral health and appearance over time.
A gum smile is a natural variation of the smile and is more common than many people realise. While it doesn’t usually require treatment, modern dental options are available for those who wish to improve the appearance of their smile.
Understanding the cause is the first step, and from there, you can decide what feels right for you. If you’re interested in orthodontic solutions, get a smile consultation today.
Get a free consultation with your orthodontist today to explore your options and take the first step towards achieving the smile of your dreams. Your journey to a confident smile starts now!
Dr Clear Aligners (DCA) recently hosted its Awards Night 2026 at Hotel ALOFT, Kuala Lumpur Sentral, bringing together dental professionals ...
30 April 2026
Building on its established presence in Thailand since 2021, Dr Clear Aligners is strengthening its regional footprint through a collaboration ...
23 April 2026
We are excited to share an important milestone in our journey — Dr Clear Aligners has officially moved its corporate ...
7 March 2026
Many parents wonder when the right time is to fix their child’s teeth. Should you wait until all adult teeth ...
16 February 2026
Brushing your teeth while wearing braces is a bit more challenging than brushing natural teeth alone, but it’s essential for ...
9 February 2026
